Después de sufrir problemas respiratorios y fiebre alta, dos residentes de Wuhan fueron diagnosticados con coronavirus, en sus vacaciones por Italia. Siendo las primeras víctimas del coronavirus en Europa, la pareja fue trasladada a terapia intensiva donde se los aisló.
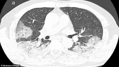
Los especialistas del Instituto Nacional de Enfermedades Infecciosas en Roma estudiaron los cuerpos de los pacientes de 65 y 67 años y detectaron, mediante rayos-X y tomografías computarizadas, un gran deterioro en la función de los pulmones.



Su hija, quien dió permiso a divulgar estas fotos, informó que eran dos personas saludables, que el único remedio que ingerían eran pastillas para la presión alta.
¿Cómo daña a los pulmones el coronavirus?
Cuando coronavirus ataca los pulmones, provoca una inflamación en las membranas mucosas, lo genera un daño en los alvéolos pulmonares, que tienen que trabajar más para suministrar oxígeno a la sangre que circula por todo el cuerpo y eliminar el dióxido de carbono para que se pueda exhalar. La inflamación y el daño al flujo de oxígeno pueden causar que dichas áreas en los pulmones se llenen de fluido, pus y células muertas.
Europa es el nuevo epicentro de el coronavirus, con más de 57.000 afectados y 2.345 muertes. Italia por su parte, es quien se lleva el récord de fallecimientos e infectados, en solo una semana se triplicó la cifra diaria de mortalidad por el CODIV-19. Según indicó el responsable de Protección Civil, Angelo Borreli, hasta ayer a la noche el país lamentaba 1.809 muertes y casi 25.000 afectados. Además, en España ya rige el “estado de alarma”, militares desinfectan lugares de riesgo y hubo una masiva contratación de médicos residentes.
Fuente: Daily Mail
